Understanding MRI Artifacts: Common Causes and How to Reduce Them

Author:

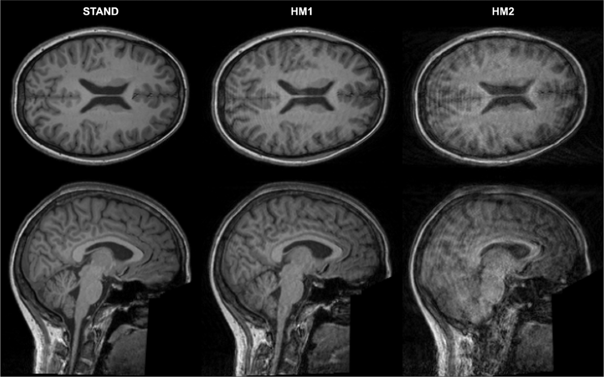
Movement-related artefacts (MR-ART) dataset of matched motion-corrupted and  clean structural MRI brain scans | Scientific Data
Introduction to MRI Artifacts

MRI scans are powerful tools for seeing inside the human body without surgery. They provide clear images of organs, tissues, and bones. However, sometimes these images can be distorted. These distortions are called MRI artifacts. They can make it harder for doctors to interpret the images accurately. Understanding what causes these artifacts is important for both patients and medical professionals.

What Are MRI Artifacts

MRI artifacts are errors or distortions in the MRI images that do not represent the actual anatomy. They can appear as strange lines, blurring, shadows, or bright spots on the scan. Artifacts can be caused by several factors, including patient movement, hardware issues, or certain medical conditions. Identifying these artifacts helps radiologists know whether the image is reliable or needs to be retaken.

Common Causes of MRI Artifacts

There are many reasons why MRI artifacts appear in scans. One common cause is patient movement during the imaging process. Even small movements, like breathing or blinking, can create blurry images. Metal objects inside or on the body, such as implants, dental fillings, or jewelry, can also interfere with the MRI signals. Technical issues, like software errors or magnetic field irregularities, can create additional distortions.

Motion Related MRI Artifacts

Movement-related artifacts are among the most common. These include ghosting, blurring, or repeated patterns in the image. Patients are often asked to stay very still during scans to reduce these problems. In some cases, sedation may be used for children or patients who cannot remain still. Using fast imaging techniques can also help reduce motion artifacts while maintaining clear images.

Metal and Hardware Related Artifacts

Metal implants or devices in the body are a frequent source of MRI artifacts. These metals interfere with the magnetic field, causing distortions in the images. Even small pieces of metal, like screws or dental fillings, can create bright or dark spots. Some modern MRI machines have specialized techniques to minimize these artifacts, but avoiding metal when possible is the best prevention.

Techniques to Reduce MRI Artifacts

There are several strategies to reduce MRI artifacts. Technicians may adjust the MRI settings, such as changing the sequence or using special filters. Patients can also help by removing any metal objects and staying as still as possible. Regular maintenance of MRI machines ensures that the hardware works correctly and reduces the chance of technical artifacts. Proper preparation and awareness can greatly improve the quality of MRI images.

Conclusion

MRI artifacts are common, but understanding their causes helps improve imaging accuracy. Motion, metal, and technical issues are the main sources of these distortions. By following proper preparation steps and using advanced imaging techniques, radiologists can reduce artifacts and provide clearer, more reliable results. Being aware of MRI artifacts ensures better diagnosis and treatment for patients.